
Кариес у детей развивается быстрее, чем у взрослых, потому что эмаль молочных зубов тоньше и мягче. Если не вмешаться вовремя, разрушение быстро достигает нерва и вызывает боль или воспаление.
В «Белой Радуге» лечение проходит щадяще и спокойно:
- для обезболивания используется цифровая анестезия — без шприца и неприятных ощущений
- кариозные ткани убираются микроабразивным способом, без «сверления» и вибраций
- зуб восстанавливается светоотверждаемым материалом, безопасным даже для самых маленьких
Мы всегда стараемся сохранить зуб живым и избегаем излишнего вмешательства.



Пациент в возрасте около 4 лет. Родители обратились на консультацию с жалобами на множественные поражения зубов и выраженную тревожность ребёнка перед лечением. В связи с возрастом пациента и объёмом необходимого вмешательства было принято решение о проведении лечения в условиях общего наркоза.
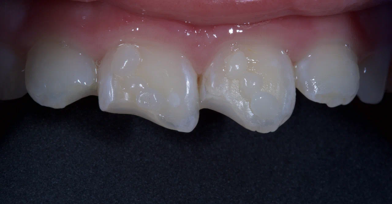
Составлен комплексный план санации полости рта под общим наркозом. Проведено лечение 8 зубов с диагнозом пульпит в жевательной группе с последующим восстановлением металлическими коронками. Во фронтальном отделе пролечено 4 пульпита, выполнено восстановление зубов циркониевыми коронками. Клыки отреставрированы композитным материалом Enamel. Проведена полная функциональная и эстетическая реабилитация молочных зубов.


Ребёнок, 5 лет. Родители заметили скол зуба и очень переживали, чтобы малыш не испытывал боли.
После диагностики (прицельный снимок) обнаружили кариес. Чтобы ребёнку было спокойно, лечение провели под закисью азота. Вся процедура прошла легко и заняла меньше часа.


Мама с ребёнком 4-х лет обратилась с жалобами на наличие белых пятен на передних зубах и наличие кариеса на жевательных зубах.
Проведено лечение 16 зубов в условиях медикаментозного сна. Терапевтическое лечение: пролечено 12 кариесов, 4 пульпита, проведены реставрации 8 зубов композитными материалами. Ортопедическое лечение: зафиксировано 5 металлических коронок и установлены 3 циркониевые коронки на жевательную группу зубов.
