
Отбеливание зубов в «Белой Радуге» проводится с использованием современной системы Zoom 4. Этот метод признан одним из самых эффективных и безопасных: он основан на действии геля с перекисью водорода, который активируется специальной лампой. Под её воздействием пигменты в эмали разрушаются, и зубы приобретают более светлый и ровный оттенок.
Процедура проходит под контролем врача. Перед отбеливанием всегда выполняется профессиональная гигиена, чтобы результат был предсказуемым и стойким. Zoom 4 позволяет осветлить зубы на несколько тонов всего за один визит, сохраняя естественную прозрачность и структуру эмали.



Пациентка обратилась с желанием сделать улыбку светлее. Ранее профессиональная чистка зубов не проводилась.
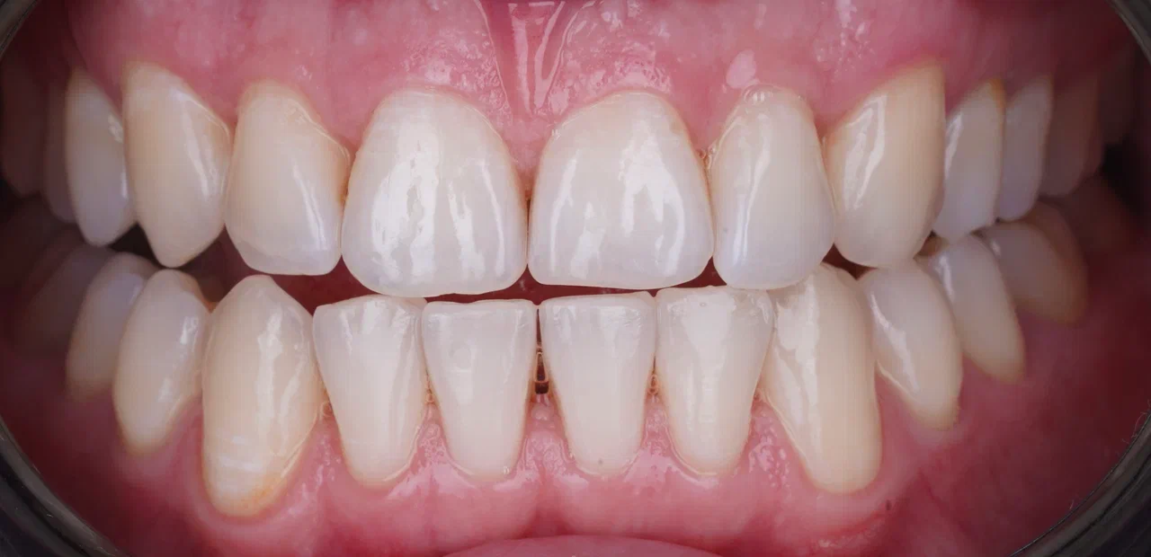
Сначала была выполнена профессиональная гигиена полости рта. Затем проведено кабинетное отбеливание системой Zoom 4. Чтобы избежать ожогов и снизить риск чувствительности, врач изолировал все участки слизистой и зоны с рецессиями десны специальным защитным составом. Процедура заняла около 1,5 часов, результат — осветление зубов на 2,5 тона. Для поддержания эффекта дополнительно изготовлены индивидуальные каппы для домашнего отбеливания.
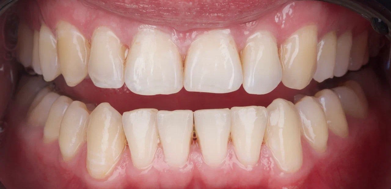
Пациентка обратилась с жалобами на жёлтый оттенок зубов после длительного лечения на брекет-системе.
После завершения ортодонтического лечения была проведена профессиональная гигиена полости рта, диагностика десны с подбором ёршиков и домашней гигиены, а также кабинетное отбеливание ZOOM 4, которое дало пациентке красивый, ровный, светлый оттенок зубов.
